Fort Bonifacio Global City, Taguig, Philippines, 1634
Laser Dentistry
Laser dentistry uses focused light energy to support precise soft-tissue care with comfort-forward treatment planning. It’s commonly used for selected gum procedures, tissue management, and adjunct periodontal support when clinically appropriate.
Gentle precision for healthier gums and smoother visits
Laser-assisted dentistry can help with soft-tissue contouring, crown lengthening, tissue management for restorative work, and selected non-contact applications. We always evaluate your case first and recommend what’s best for you.
- Soft-tissue crown lengthening & gum reshaping
- Tissue management for clearer restorative margins
- Adjunct periodontal & peri-implant support
- Selected soft-tissue excisions when indicated
- Hemostasis support for clearer visibility
- Comfort-focused, controlled clinical approach
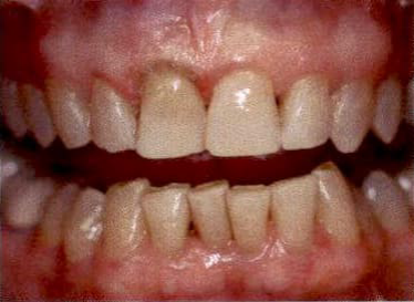
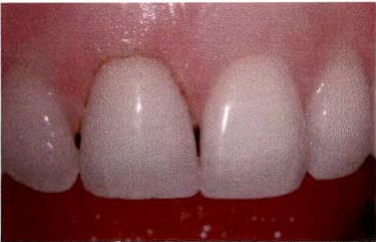
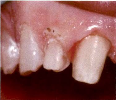
Soft Tissue Crown Lengthening
Soft tissue crown lengthening is a laser-assisted procedure that reshapes or removes excess gum tissue to reveal more natural tooth structure. It’s commonly used to support clean restorative margins and improve smile proportions when gums cover too much of the teeth.
Assessment & Smile Planning
We evaluate gum levels and treatment goals to plan ideal contour and tissue reshaping.
Precise Gingival Contouring
Controlled soft-tissue contouring to improve symmetry and expose tooth contours.
Hemostasis for Clear Margins
Laser-assisted coagulation can support hemostasis for clearer visibility during care.
Tissue Management for Restorations
Helps expose and define margins when tissue overlaps, supporting restorative steps.
Aftercare & Follow-up
Personalized guidance and follow-ups to support healing and stable results.
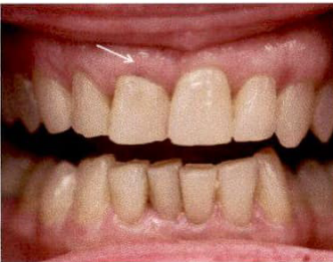
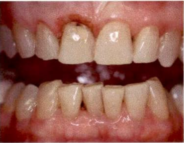
Surgical Excisions
Laser-assisted surgical excisions may be used for selected soft-tissue cases such as irritating lesions and frenum impingement—supporting controlled tissue removal and clearer clinical visibility when indicated.
Inspect & Document
Inspect the lesion and measure if needed for clinical or pathology records prior to excision.
Anesthesia & Tissue Stabilization
After anesthesia, stabilize the tissue with forceps or an instrument to improve control and access.
Laser Excision at the Base
Direct laser energy at the base of the tissue using a sweeping motion, keeping light retraction pressure to support controlled excision.
Finish Margins & Hemostasis
Finish with healthy tissue margins slightly outside the original lesion dimensions and perform hemostasis if needed.
No Sutures Typically Needed
In many cases, no sutures or packing are placed. The tissue should heal well; follow-up can confirm healing progress.
When we may recommend laser dentistry
Laser dentistry can be helpful when soft-tissue control and visibility matter—especially for shaping gums and supporting selected clinical goals.
What to expect
We assess your needs, explain the process clearly, and choose the most appropriate approach. Aftercare instructions are provided based on your procedure.
If you have a restorative goal, we focus on clean margins, visibility, and comfortable healing support.
Considering Laser Dentistry?
Book a consultation and we’ll guide you through the best option for your case—comfortably and confidently.
We're thrilled to hear from you. Our inbox can't wait to get your messages — talk to us anytime you like.
Cheers!
1st Avenue, Fort Bonifacio Global City,
Taguig City 1634, Philippines
9:00 AM – 6:00 PM
By Appointment