Fort Bonifacio Global City, Taguig, Philippines, 1634
Short-Term Orthodontics
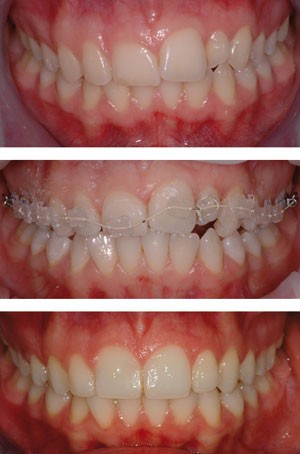
Short-term orthodontics focuses on improving the appearance of your smile in a shorter treatment period. It is ideal for patients who want to correct mild to moderate spacing, crowding, or front teeth alignment using a more efficient cosmetic approach.
Who Can Benefit from Short-Term Orthodontics
This treatment is designed for patients who want faster smile enhancement, especially when the main concern is the visible front teeth rather than major bite correction.
- Mild crowding or spacing issues.
- Improvement of front teeth alignment.
- Faster cosmetic smile correction.
- More confidence in a shorter time.
How Short-Term Orthodontics Works
Treatment focuses on moving the teeth that are most visible when you smile. After a professional assessment, a customized plan is created to achieve improved alignment in a shorter period compared to comprehensive orthodontic treatment.
- Smile and alignment assessment.
- Customized cosmetic treatment plan.
- Focused correction of visible teeth.
- Regular monitoring throughout treatment.
Why Patients Choose This Option
Many patients prefer short-term orthodontics because it offers a more efficient way to improve smile aesthetics without committing to a longer full orthodontic treatment plan.
It can be a great solution for adults and teens seeking subtle, noticeable improvements that enhance confidence and overall smile appearance.
Want a Straighter Smile in Less Time?
A consultation can help determine whether short-term orthodontics is the right option for your smile goals. Discover a faster way to achieve a more confident and beautifully aligned smile.
We're thrilled to hear from you. Our inbox can't wait to get your messages — talk to us anytime you like.
Cheers!
1st Avenue, Fort Bonifacio Global City,
Taguig City 1634, Philippines
9:00 AM – 6:00 PM
By Appointment