Fort Bonifacio Global City, Taguig, Philippines, 1634
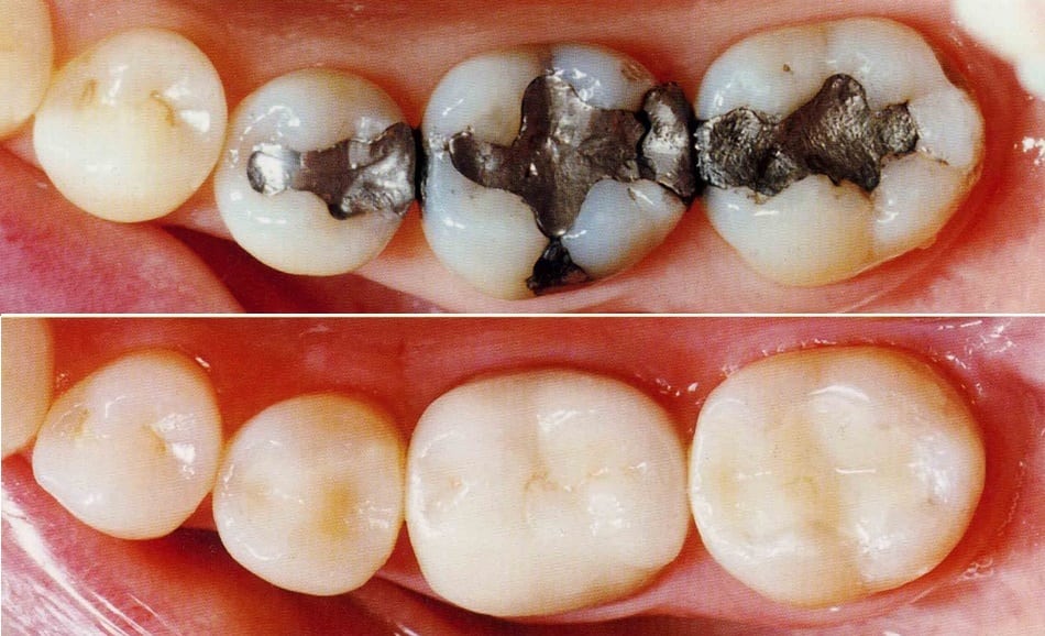
Tooth-Coloured Fillings
Tooth-coloured fillings are a modern restorative solution used to repair cavities, small fractures, and minor tooth damage while maintaining a natural appearance. These fillings are designed to blend with your existing tooth shade, helping restore both function and aesthetics.
What Tooth-Coloured Fillings Can Treat
This treatment is ideal for repairing damaged or decayed teeth in a way that looks subtle and natural. It helps restore the tooth while preserving the overall beauty of your smile.
- Small to moderate cavities.
- Chipped or slightly broken teeth.
- Worn tooth surfaces.
- Replacement of old visible fillings.
How Tooth-Coloured Fillings Work
After removing the damaged or decayed portion of the tooth, a tooth-coloured material is carefully placed, shaped, and polished to restore the tooth’s form and function. The result is a repair that blends more naturally with your smile.
- Removal of decay or damaged tooth structure.
- Placement of tooth-coloured restorative material.
- Careful shaping for proper fit and bite.
- Polishing for a smooth and natural finish.
Why Patients Choose Tooth-Coloured Fillings
Many patients prefer tooth-coloured fillings because they offer a more aesthetic alternative to traditional metal fillings. They help restore teeth in a way that is less noticeable and more harmonious with the natural smile.
This treatment is a practical option for patients who want dependable restoration with a cleaner, more modern appearance.
Need a Natural-Looking Tooth Repair?
A professional consultation can help determine whether tooth-coloured fillings are the right solution for your dental needs. Restore your tooth comfortably and beautifully with a filling that blends naturally with your smile.
We're thrilled to hear from you. Our inbox can't wait to get your messages — talk to us anytime you like.
Cheers!
1st Avenue, Fort Bonifacio Global City,
Taguig City 1634, Philippines
9:00 AM – 6:00 PM
By Appointment